Cabinet C2S du docteur Rouach

Logo cabinet dentaire C2S Dr Thierry Rouach chirurgien-dentiste Paris 8e

Situé dans le 8ᵉ arrondissement de Paris, près de Saint-Lazare, le cabinet C2S vous accueille pour tous vos soins dentaires : prévention, implants, prothèses et esthétique du sourire, avec une équipe utilisant des technologies de pointe pour des soins précis et personnalisés.

nos traitements dentaires

Implants dentaires

Les implants dentaires servent à remplacer les racines manquantes et à supporter les dents prothétiques. Ainsi, le Docteur Rouach propose des solutions d’implant dentaire à Paris 8e pour remplacer durablement une ou plusieurs dents manquantes.

Une technique fiable et esthétique

En effet, les implants en titane médical remplacent la racine naturelle et permettent donc de fixer des couronnes ou bridges en céramique, alliant esthétique et fonctionnalité. Par ailleurs, lorsque nécessaire, des techniques complémentaires comme la greffe osseuse assurent une stabilité optimale et un résultat fiable et durable.

nos traitements dentaires

Implants dentaires

Les implants dentaires servent à remplacer les racines manquantes et à supporter les dents prothétiques. Ainsi, le Docteur Rouach propose des solutions d’implant dentaire à Paris 8e pour remplacer durablement une ou plusieurs dents manquantes.

Une technique fiable et esthétique

En effet, les implants en titane médical remplacent la racine naturelle et permettent donc de fixer des couronnes ou bridges en céramique, alliant esthétique et fonctionnalité. Par ailleurs, lorsque nécessaire, des techniques complémentaires comme la greffe osseuse assurent une stabilité optimale et un résultat fiable et durable.

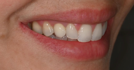
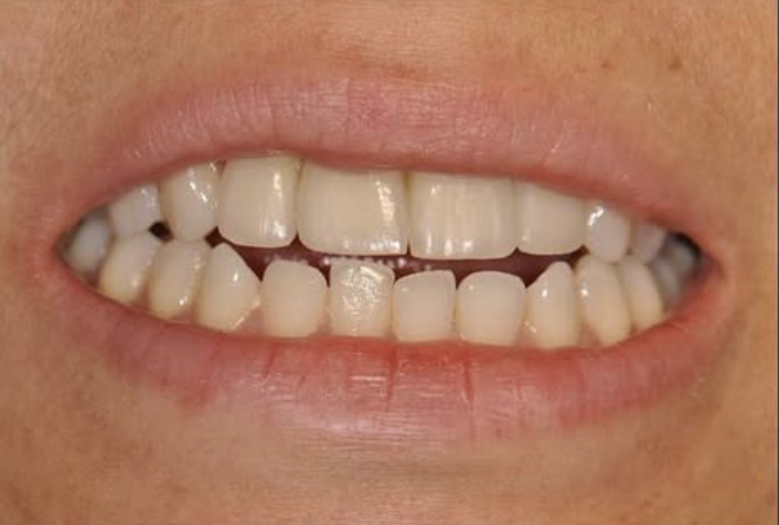
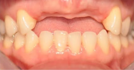
Exemples de traitements en implantologie et résultats obtenus

Cas cliniques – Des résultats visibles et naturels

L’implantologie dentaire est une solution thérapeutique visant à remplacer une ou plusieurs dents manquantes. 

Traitement une dent

AVANT APRÈS

Édentement partiel

AVANT APRÈS

Édentement complet implantaire

AVANT APRÈS

FAQ -

Implantologie

La FAQ sur l’implantologie dentaire répond aux questions les plus fréquentes concernant le remplacement des dents manquantes par des implants, les étapes du traitement, le temps de cicatrisation et les conditions nécessaires à la pose pour un résultat durable et sécurisé.

Dr Rouach : Les coûts varient en fonction de l’importance du traitement et du nombre d’implants qui seront posés.

Les coûts à votre charge figureront sur le devis/plan de traitement que nous vous remettrons après vous avoir reçu au préalable en consultation à notre cabinet dentaire.

Dr Rouach : La croissance osseuse doit être achevée au moment de l’implantation. On considère que c’est généralement le cas à l’âge de 18 ans. En cas de doute, une radiographie de l’os carpien sera réalisée.

Pour ce qui est d’un âge plus avancé, le traitement ne comporte quasiment aucun risque, on peut donc se faire poser des implants à 70, 80, voir 90 ans.

Dr Rouach : Une ou plusieurs dents peuvent être remplacées. Dans le cas d’une personne porteuse de prothèses complètes (dentier), toutes les dents peuvent être remplacées par des dents en porcelaine sur implants offrant ainsi la chance d’avoir à nouveau des dents fixes et permanentes.

Dr Rouach : Après la phase de cicatrisation, un implant de qualité posé correctement est plus résistant contre certaines influences qu’une racine naturelle.

Un implant titane parfaitement sollicité ne se casse pas et ne peut pas se carier. Avec une bonne hygiène bucco-dentaire, vous conserverez la gencive et la loge implantaire en bon état.

Dr Rouach : La pose d’un implant dentaire se fait généralement sous anesthésie locale, rendant la sensibilité très réduite voire inexistante durant l’intervention.

La douleur post-opératoire pourra etre comparée à celle parfois ressentie lors d’une simple extraction dentaire et ce durant quelques jours après l’opération, mais des analgésiques ou anti-inflammatoires (sauf contre-indications) vous seront prescrits pour diminuer cette éventuelle douleur.

Dr Rouach : Oui dans certains cas médicaux bien particuliers. Si vous souffrez d’une maladie grave comme par exemple une pathologie cardio-vasculaire ou l’ostéoporose, si vous avez une tendance prononcée aux hémorragies ou si vous êtes immunodéprimé, vous devez impérativement en informer votre dentiste afin qu’il procède aux examens nécessaires.
Dr Rouach : Un brossage quotidien au moins 3 fois par jour de la face interne et externes en allant toujours de la gencive vers la dent. Ce brossage pouvant etre complété par l’usage de fil dentaire, d’une brosse interdentaire ou encore d’un hydropulseur (eau pulsée).
Dr Rouach : Oui, peu importe qu’il s’agisse d’une couronne, d’un bridge ou d’une prothèse mobile sur implant vous pourrez manger, mordre et parler comme vous le feriez avec vos dents naturelles.
Dr Rouach : Oui, dès le lendemain de l’intervention dans la plupart des cas, sauf dans la cas d’une anesthésie générale (cas très rare).
 
Logo cabinet dentaire C2S Dr Thierry Rouach chirurgien-dentiste Paris 8e

Situé dans le 8ᵉ arrondissement de Paris, près de Saint-Lazare, le cabinet C2S vous accueille pour tous vos soins dentaires : prévention, implants, prothèses et esthétique du sourire, avec une équipe utilisant des technologies de pointe pour des soins précis et personnalisés.

Nous contacter