Cabinet C2S du docteur Rouach

Logo cabinet dentaire C2S Dr Thierry Rouach chirurgien-dentiste Paris 8e

Situé dans le 8ᵉ arrondissement de Paris, près de Saint-Lazare, le cabinet C2S vous accueille pour tous vos soins dentaires : prévention, implants, prothèses et esthétique du sourire, avec une équipe utilisant des technologies de pointe pour des soins précis et personnalisés.

nos traitements dentaires

Parodontologie

La parodontite est une maladie des gencives pouvant entraîner saignements, déchaussement et perte des dents si elle n’est pas traitée. Elle touche près de 3 adultes sur 4.

Un diagnostic précoce et une bonne hygiène bucco-dentaire permettent de limiter les complications.
Nous proposons des traitements adaptés : 

Laser pour éliminer les bactéries et favoriser la cicatrisation, GBT pour un nettoyage moderne et non invasif et un traitement chirurgical pour les formes avancées.

Notre objectif : retrouver et maintenir une bouche saine.

nos traitements dentaires

Parodontologie

La parodontite est une maladie des gencives pouvant entraîner saignements, déchaussement et perte des dents si elle n’est pas traitée. Elle touche près de 3 adultes sur 4.

Un diagnostic précoce et une bonne hygiène bucco-dentaire permettent de limiter les complications.
Nous proposons des traitements adaptés : 

Laser pour éliminer les bactéries et favoriser la cicatrisation, GBT pour un nettoyage moderne et non invasif et un traitement chirurgical pour les formes avancées.

Notre objectif : retrouver et maintenir une bouche saine.

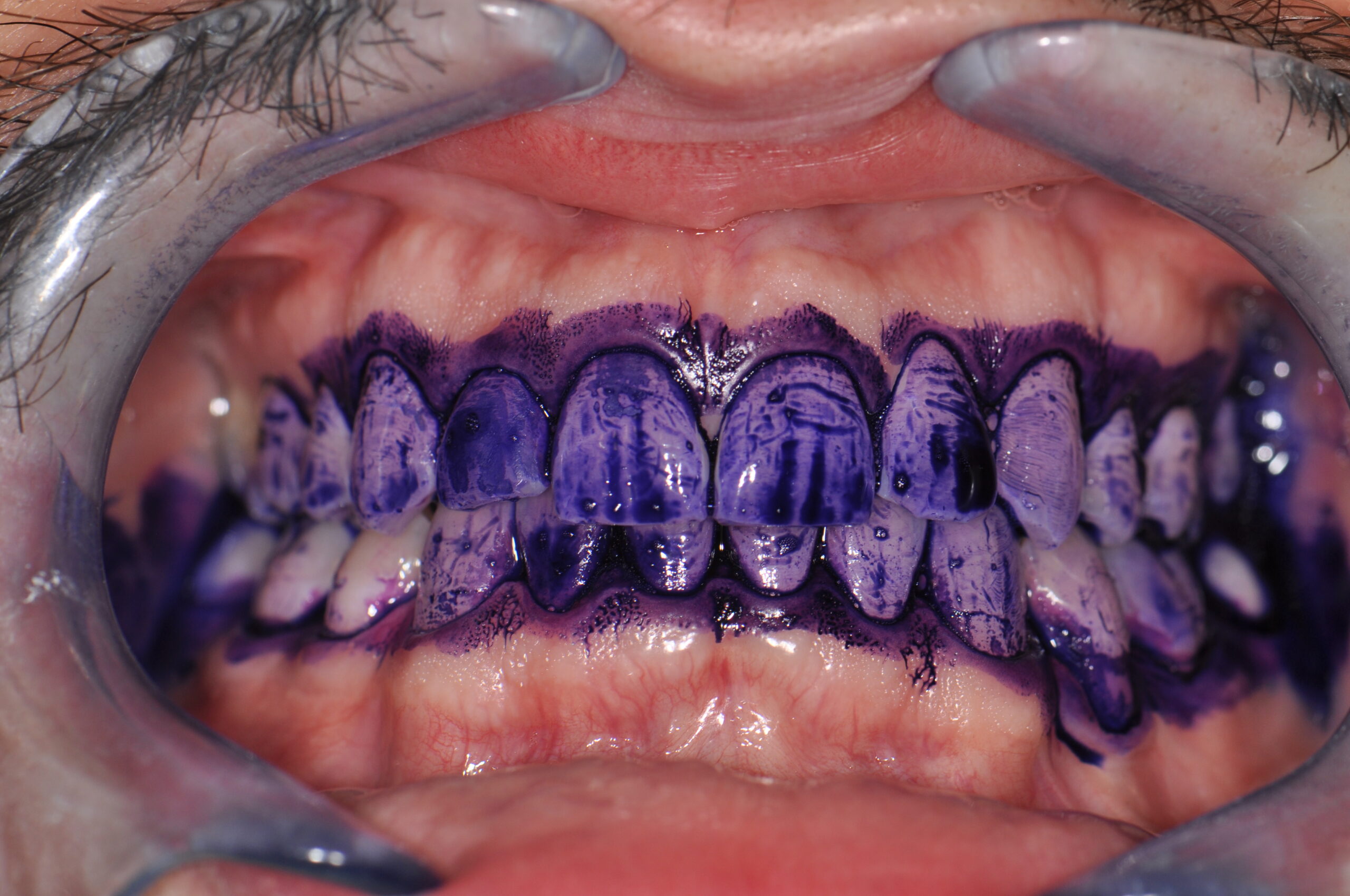
Le contrôle du biofilm est essentiel

POURQUOI LA GBT CHANGE LA DONNE ?

Le biofilm dentaire est le principal facteur étiologique d’apparition de caries, de parodontites et de péri-implantites. La parodontite peut également augmenter les risques de maladies systémiques telles que les maladies cardiovasculaires, respiratoires ou le diabète.

Une bonne hygiène orale, associée à des soins dentaires professionnels réguliers, permet de maintenir le biofilm sous contrôle et contribue à un meilleur état de santé général. Dès les années 70, Axelsson et Lindhe ont posé les bases de la dentisterie préventive à travers des études et des protocoles cliniques reposant sur des séances régulières de soins prophylactiques.

Logo Guided Biofilm Therapy détartrage parodontologie cabinet C2S Paris 8e

Le protocole GBT : une approche préventive fondée sur les recommandations

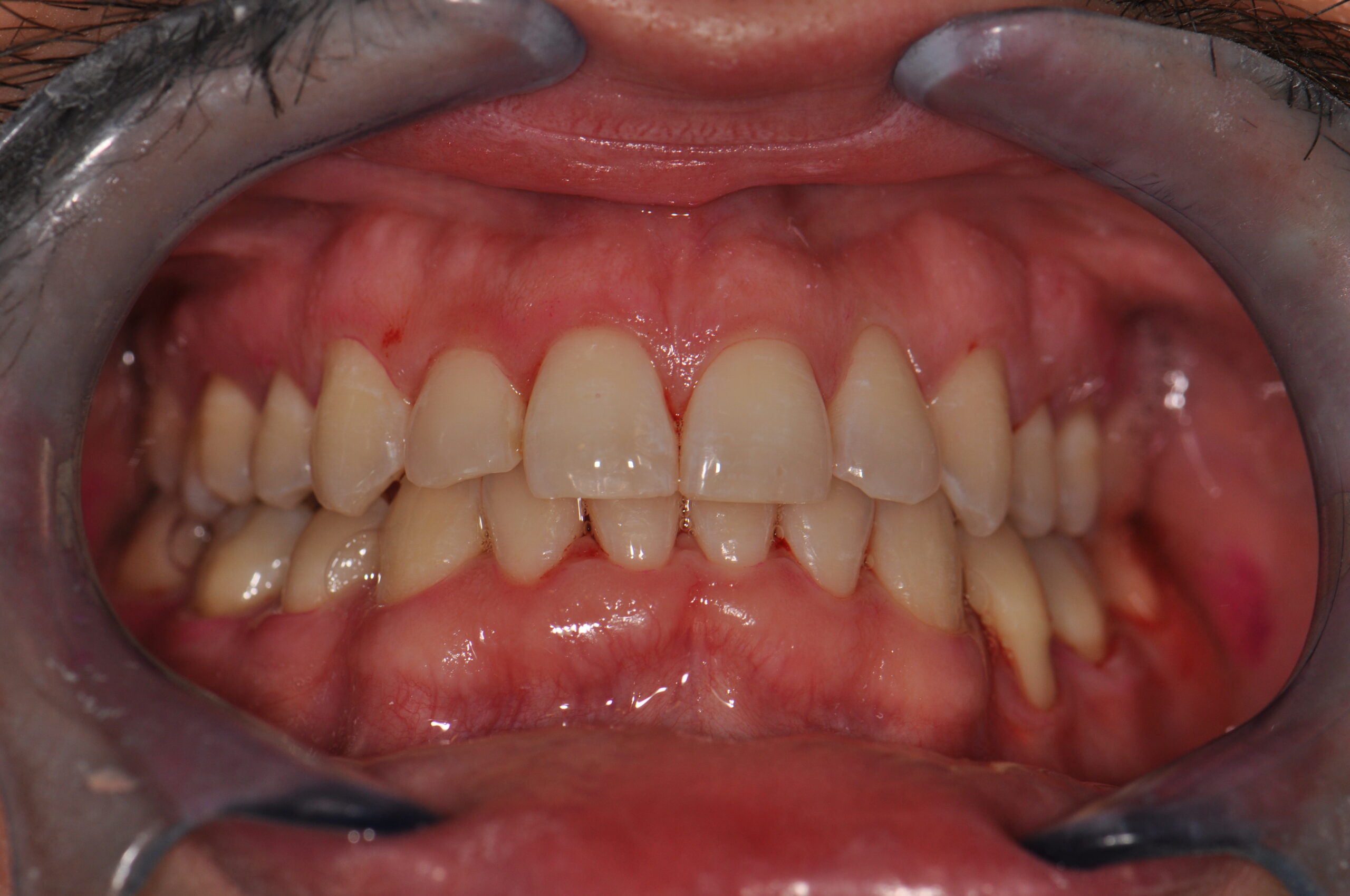
Cas clinique : application du protocole GBT

Le protocole GBT s’inscrit dans le respect des recommandations relatives à l’élimination de la plaque par des moyens mécaniques professionnels (Professional Mechanical Plaque Removal – PMPR) et des instructions d’hygiène bucco-dentaire (OHI) de la Fédération Européenne de Parodontologie (EFP) pour les soins à domicile.

« Une bouche saine, pour un corps sain ! »

Cabinet-C2S-Cabinet-C2S Dr-Rouach-Parodontologie

Le traitement expliqué en vidéo

Présentation du protocole GBT, conforme aux recommandations PMPR et EFP.

Cette vidéo explicative détaille le déroulement du traitement selon le protocole GBT, en conformité avec les recommandations PMPR et EFP, et souligne l’importance d’une bonne hygiène bucco-dentaire pour la prévention et la santé parodontale.

FAQ -

Parodontologie

La FAQ sur la parodontologie

La FAQ sur la parodontologie répond aux questions les plus fréquentes concernant les maladies des gencives, les symptômes, les causes et les traitements disponibles au cabinet C2S, afin de vous accompagner vers une bouche saine et des gencives en bonne santé.

Les maladies parodontales sont des infections bactériennes qui touchent les gencives et les tissus de soutien des dents. Elles se manifestent par des saignements gingivaux et peuvent, à long terme, entraîner le déchaussement ou la perte des dents.

Les signes les plus fréquents sont le saignement des gencives, l’inflammation, la mauvaise haleine persistante, la sensibilité dentaire et, dans les cas avancés, la mobilité dentaire.

La parodontite est causée par l’accumulation de plaque dentaire et de tartre, favorisant la prolifération de bactéries responsables de l’inflammation et de la destruction progressive des tissus de soutien.

Le traitement consiste d’abord à éliminer les dépôts bactériens afin de stopper l’inflammation. Selon la gravité, un traitement non chirurgical ou chirurgical peut être nécessaire, parfois complété par des antibiotiques et des solutions désinfectantes.

Oui, sans une hygiène bucco-dentaire rigoureuse et un suivi régulier, la maladie peut réapparaître.

Dr Rouach : Un dépistage précoce permet d’éviter des traitements plus lourds. Des contrôles réguliers sont essentiels pour préserver la santé des gencives et des dents.

Logo cabinet dentaire C2S Dr Thierry Rouach chirurgien-dentiste Paris 8e

Situé dans le 8ᵉ arrondissement de Paris, près de Saint-Lazare, le cabinet C2S vous accueille pour tous vos soins dentaires : prévention, implants, prothèses et esthétique du sourire, avec une équipe utilisant des technologies de pointe pour des soins précis et personnalisés.

Nous contacter